Numerose forme di lavoro corporeo, come l'integrazione Strutturale Rolfing®, possono alleviare i sintomi associati alla Scoliosi…
La scoliosi, è una curvatura anormala della colonna vertebrale che afffligge circa il 3% della popolazione; solo il 20% dei casi è derivante da patologie note, mentre l'80% (secondo l'Istituto Scientifico Italiano Colonna Vertebrale - ISICO) è da definire Idiopatica, cioè priva di una certezza causale.

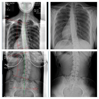
In questo articolo, scritto da Lu Mueller-Kaul, viene fatto uno studio sugli effetti del Rolfing su pazienti che presentano questa deformazione della colonna; l'articolo mostra immagini "prima e dopo" il ciclo di Rolfing® e evidenzia come il Rolfing possa avere effetti benefici sui pazienti trattati.